Гранулоциты — важные компоненты крови, играющие ключевую роль в иммунной системе. Они защищают организм от инфекций и воспалений. Понимание нормальных показателей гранулоцитов и причин их отклонений помогает в диагностике заболеваний и оценке состояния здоровья. В статье рассмотрим строение и жизнедеятельность гранулоцитов, их разновидности, нормы, причины повышения или снижения уровня в крови и способы нормализации показателей. Эта информация будет полезна медицинским специалистам и широкой аудитории, заботящейся о здоровье.
Особенности строения и жизнедеятельности
Часто возникает вопрос о том, что представляют собой гранулоциты, особенно у тех, кто сталкивается с результатами анализов, где указаны отклонения в показателях этих клеток. Хотя термин «гранулоциты» является распространённым в медицинской практике, он может быть не совсем понятен людям, не связанным с медициной. Чаще всего пациенты ищут ответы на вопросы о незрелых гранулоцитах в анализе крови и причинах, по которым их наличие вызывает беспокойство у врачей. Чтобы разобраться в этих вопросах, важно понять особенности строения, функционирования и образования этих клеток в организме.
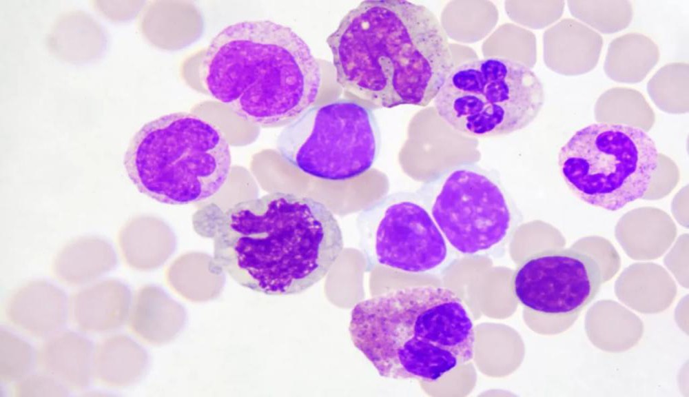
Гранулоциты — это клетки, которые входят в состав лейкоцитов и выполняют множество функций, главным образом связанных с защитой организма от вредных и патогенных микроорганизмов. Лейкоциты делятся на две основные группы: гранулоциты и агранулоциты. Основная характеристика гранулоцитов заключается в их специфическом строении: наличие ядра неправильной, сегментированной формы, что отличает их от агранулоцитарных клеток.
Гранулоциты образуются в костном мозге, и их жизненный цикл в периферической крови и тканях составляет от трёх до десяти дней. Это требует постоянного производства этих клеток в костном мозге для замены стареющих. В стандартных результатах общего анализа крови термин «гранулоциты» обычно не указывается, но в развернутом анализе он обозначается аббревиатурой GRA. Процесс их образования происходит в стволовых клетках костного мозга, где миелобласты дифференцируются в несколько форм:
- Сегментоядерные (зрелые).
- Палочкоядерные (незрелые).
- Молодые (незрелые элементы).
При нормальном функционировании организма в кровь попадают в основном зрелые и палочкоядерные клетки, причем последние быстро превращаются в зрелые формы. Наличие в крови большого количества незрелых гранулоцитов является тревожным сигналом. У здорового человека незрелые клетки либо отсутствуют, либо находятся в крайне малом количестве. Их выход из костного мозга считается нормальным только у женщин во время беременности и у новорожденных. В других случаях присутствие незрелых гранулоцитов может указывать на развитие патологических процессов, когда зрелые клетки не справляются с угрозой, и организму требуется поддержка со стороны молодых клеток.
Гранулоциты являются важной составляющей иммунной системы, и их уровень в анализе крови может многое рассказать о состоянии здоровья пациента. Врачи отмечают, что нормальные показатели гранулоцитов варьируются в пределах 1,5-8,0 х 10^9/л. Отклонения от этих норм могут свидетельствовать о различных заболеваниях. Повышение уровня гранулоцитов, или гранулоцитоз, часто связано с инфекциями, воспалительными процессами или стрессом. В то же время, снижение их количества, или гранулопения, может указывать на более серьезные проблемы, такие как аутоиммунные заболевания или влияние лекарств. Врачи подчеркивают важность комплексного подхода к нормализации показателей гранулоцитов, который включает в себя лечение основного заболевания, коррекцию образа жизни и, при необходимости, применение медикаментов. Регулярный мониторинг и консультации со специалистами помогут поддерживать здоровье и предотвратить возможные осложнения.
https://youtube.com/watch?v=wzW_3VDA3sg
Разновидности гранулоцитов
Термин «гранулоциты» объединяет несколько типов клеток, относящихся к гранулоцитарной категории. В состав гранулоцитов входят следующие виды:
- Эозинофилы, которые играют важную роль в цитотоксических процессах, нейтрализуя и выводя из организма паразитов. В норме их доля составляет от одного до пяти процентов от общего числа гранулоцитов.
- Базофилы, составляющие менее одного процента всех гранулоцитов, отвечают за сигнализацию организму о наличии патогенных микроорганизмов, привлекая к месту инфекции другие гранулоцитарные клетки для борьбы с болезнетворными агентами. Кроме своей информативной функции, базофилы также способствуют увеличению проницаемости сосудов, улучшению циркуляции биологических жидкостей и нормализации свертываемости крови.
- Нейтрофилы – самая многочисленная группа гранулоцитов, составляющая до семидесяти процентов от общего числа. Их основная задача заключается в уничтожении различных патогенных организмов, даже ценой своей жизни. При гибели нейтрофилов выделяются активные вещества, которые помогают остановить дальнейшее развитие воспалительных процессов.
По количественному составу гранулоциты представляют собой значительную группу, составляя чуть более семидесяти процентов от общего числа клеток, относящихся к лейкоцитам.
https://youtube.com/watch?v=T5T0MCYl8BU
| Показатель | Норма | Причины отклонений | Особенности нормализации |
|---|---|---|---|
| Общее количество гранулоцитов | 40-75% от общего числа лейкоцитов | Повышение (гранулоцитоз): бактериальные инфекции, воспалительные процессы, стресс, травмы, злокачественные новообразования, прием некоторых лекарств (кортикостероиды). Понижение (гранулоцитопения): вирусные инфекции, аутоиммунные заболевания, апластическая анемия, химиотерапия, лучевая терапия, прием некоторых лекарств (антибиотики, противосудорожные). |
Повышение: лечение основного заболевания (антибиотики при бактериальной инфекции, противовоспалительные средства), устранение стрессовых факторов. Понижение: лечение основного заболевания, отмена провоцирующих препаратов, стимуляция кроветворения (колониестимулирующие факторы), переливание гранулоцитов (в тяжелых случаях). |
| Нейтрофилы (сегментоядерные) | 45-70% от общего числа лейкоцитов | Повышение (нейтрофилез): бактериальные инфекции, воспалительные процессы, инфаркт миокарда, стресс, физическая нагрузка, прием кортикостероидов. Понижение (нейтропения): вирусные инфекции, тяжелые бактериальные инфекции (сепсис), апластическая анемия, химиотерапия, лучевая терапия, аутоиммунные заболевания. |
Повышение: лечение инфекции, купирование воспаления. Понижение: лечение основного заболевания, отмена провоцирующих препаратов, стимуляция кроветворения (Г-КСФ), изоляция пациента для предотвращения инфекций. |
| Нейтрофилы (палочкоядерные) | 1-6% от общего числа лейкоцитов | Повышение (сдвиг лейкоцитарной формулы влево): острые бактериальные инфекции, воспалительные процессы, интоксикации, кровопотеря. Указывает на активное образование новых нейтрофилов в ответ на патологию. | Лечение основного заболевания, которое вызывает активное образование нейтрофилов. |
| Эозинофилы | 0,5-5% от общего числа лейкоцитов | Повышение (эозинофилия): аллергические реакции (астма, экзема, поллиноз), паразитарные инвазии (глисты), некоторые аутоиммунные заболевания, опухоли, прием некоторых лекарств. Понижение (эозинопения): острые инфекции, стресс, прием кортикостероидов. |
Повышение: выявление и устранение аллергена, противопаразитарная терапия, лечение основного заболевания. Понижение: обычно не требует специфической коррекции, нормализуется после устранения причины. |
| Базофилы | 0-1% от общего числа лейкоцитов | Повышение (базофилия): хронические миелопролиферативные заболевания (хронический миелолейкоз), аллергические реакции, гипотиреоз, язвенный колит. Понижение (базопения): острые инфекции, стресс, гипертиреоз, прием кортикостероидов. |
Повышение: лечение основного заболевания. Понижение: обычно не имеет клинического значения и не требует коррекции. |
Нормальные показатели
Интерпретация результатов анализа крови, особенно с учетом формулы, представляет собой сложную задачу, так как отклонения от нормальных значений требуют комплексного анализа. Определить наличие патологического процесса и его характер может только квалифицированный специалист, который сопоставит данные лабораторного исследования с возрастными характеристиками пациента, его жалобами и другими клиническими показателями здоровья.
Что касается гранулоцитов, их нормы зависят от возраста пациента и выражаются в процентном соотношении к общему количеству лейкоцитов. Для детей нормы GRA выглядят следующим образом:
- У новорожденных уровень не должен превышать тридцати пяти процентов.
- К году жизни количество гранулоцитов у ребенка немного снижается, и норма составляет тридцать один процент.
- С одного года до десяти лет у детей процентное содержание гранулоцитов не должно превышать пятьдесят три, при этом минимальный уровень для нормального функционирования организма составляет пятьдесят один процент от общего числа лейкоцитов.
- У подростков до шестнадцати лет минимальный и максимальный уровень гранулоцитов составляет пятьдесят три и пятьдесят семь процентов соответственно.
Для лиц в возрасте от шестнадцати до двадцати одного года норма гранулоцитов колеблется от пятидесяти семи до пятидесяти девяти процентов. После достижения этого возрастного порога у мужчин и женщин показатели гранулоцитарных клеток должны находиться в диапазоне от сорока семи до семидесяти двух процентов. Отклонения от нормального уровня гранулоцитов не всегда указывают на наличие заболеваний; иногда их количество может изменяться под воздействием физиологических факторов. На уровень клеток могут влиять интенсивные физические нагрузки, а также изменения, происходящие у женщин в определенные периоды жизни, связанные с колебаниями гормонального фона. Что касается незрелых форм гранулоцитов, то их допустимый уровень не должен превышать пяти процентов. Показатели выше этого значения могут свидетельствовать о наличии патологий.
https://youtube.com/watch?v=Y8fSCDx9kuw
Причины повышения гранулоцитарных элементов
Фраза «гранулоциты повышены» часто указывает на наличие патологических проблем, однако в некоторых случаях увеличение их количества не должно вызывать беспокойства. Небольшое повышение гранулоцитов считается нормальным в следующих ситуациях:
- У женщин увеличение гранулоцитов может быть связано с физиологическими особенностями, наблюдаемыми в предменструальный период и во время беременности. Особенно часто это явление фиксируется в последние месяцы беременности и в течение нескольких дней после родов.
- При значительных физических и эмоциональных нагрузках у различных групп людей.
- После переедания перед сдачей анализа крови.
После исключения влияния физиологических факторов на результаты анализа, причины повышения гранулоцитарных форм лейкоцитов следует искать в следующих областях:
- Прогрессирование острых инфекционных заболеваний.
- Сложные аллергические реакции.
- Злокачественные опухоли различной локализации.
- Интоксикация организма, которая может быть вызвана как острым отравлением пищей, ядами и токсинами, так и бесконтрольным приемом лекарственных средств.
- Развитие заболеваний, сопровождающихся некрозом тканей.
У детей незрелые гранулоциты могут повышаться по тем же причинам, что и у взрослых, а также на фоне вакцинации, когда организм ребенка активно реагирует на введенный препарат, формируя иммунную память для борьбы с аналогичными патогенными микроорганизмами.
При интерпретации результатов врач учитывает не только факт повышения гранулоцитов, но и анализирует, какие именно группы гранулоцитарных лейкоцитов увеличены. Если наблюдается рост нейтрофилов, это может указывать на интоксикацию, острые кровотечения или бактериальные инфекции. Увеличение количества эозинофилов может свидетельствовать о заболеваниях сердечно-сосудистой и эндокринной систем, аллергических реакциях, наличии опухолей или сбоях в работе иммунной системы.
Базофилы, как правило, увеличиваются на фоне эндокринных или аллергических заболеваний, нарушений в процессе кроветворения, как врожденного, так и приобретенного характера, а также при проблемах с функционированием органов пищеварительной системы.
Причины снижения гранулоцитов
Давайте разберемся, что означает пониженное количество гранулоцитов и насколько это может быть опасно для здоровья. Причины снижения уровня гранулоцитов определяются путем анализа количественных показателей каждого из их подвидов. Если общее количество гранулоцитарных клеток снижено на фоне уменьшения эозинофилов, то основные причины этого явления могут быть следующими:
- Наличие инфекционного процесса или сепсиса.
- Недостаток витаминов группы B и анемия.
- Период после хирургического вмешательства.
- Внутренние или наружные кровотечения.
Когда уровень эозинофилов понижен у новорожденного, это часто связано с нарушениями в работе кроветворной системы. Случаи, когда гранулоциты понижены одновременно с дефицитом базофилов, встречаются крайне редко и могут быть следствием нарушений в процессах кроветворения, как генетического, так и приобретенного характера. Снижение нейтрофильных гранулоцитов считается серьезным состоянием, которое может угрожать здоровью и жизни. При нейтропении наблюдается ослабление клеточного иммунитета, что увеличивает риск развития сложных воспалительных процессов. Подобные результаты анализа могут указывать на прогрессирование у пациента следующих заболеваний:
- Сахарного диабета.
- Аутоиммунных заболеваний с сложной этиологией.
- Злокачественных новообразований в костном мозге.
- Анемии с критически низкими показателями.
- Интоксикации алкоголем, медикаментами или токсическими веществами.
Если у ребенка наблюдается понижение нейтрофильных гранулоцитов, родителям следует быть готовыми к тому, что врачи могут поставить диагноз, связанный с врожденными патологиями.
Сдача анализа крови
Общий анализ крови развернутого типа можно пройти в любой лаборатории, будь то государственная поликлиника, больница или частное учреждение на платной основе. Для этого пациенту необходимо сдать капиллярную кровь из пальца. Подготовка к анализу требует соблюдения определенных рекомендаций: за несколько дней до исследования следует отказаться от вредных привычек и тяжелой пищи, а также минимизировать физические нагрузки и стресс. Кровь лучше сдавать утром, натощак; многие лаборатории устанавливают крайний срок для сдачи биоматериала до десяти часов утра. Врачи настоятельно советуют не принимать никаких медикаментов, которые могут повлиять на результаты, и воздержаться от еды и напитков, разрешенной к употреблению является только обычная вода. Время между последним приемом пищи и сдачей крови должно составлять не менее восьми часов. В случае необходимости срочного подсчета гранулоцитов в крови, можно сдать венозную кровь, что допускается в любое время суток.
В настоящее время для подсчета гранулоцитов лаборатории применяют современные анализаторы, что значительно упрощает процесс. Это позволяет получить результаты в тот же день, когда была сдана кровь, а в случае срочной диагностики — даже через час после забора биоматериала.
Как нормализовать результаты анализа крови?
Методика решения проблемы, связанной с несоответствием гранулоцитарных форм лейкоцитов установленным нормам, напрямую зависит от причины данного явления. Для определения точного диагноза необходимо провести полное обследование пациента, включая дополнительные лабораторные и инструментальные исследования. В медицине нет универсального ответа на вопрос о том, как изменить уровни GRA, поскольку лечение будет сосредоточено на устранении первоисточника заболевания. По мере устранения проблемы показатели крови будут приходить в норму. План терапии будет зависеть от типа заболевания и его стадии, а также будет согласован с рекомендациями министерства здравоохранения по методам борьбы с конкретной болезнью. Важно следовать указаниям врачей в процессе лечения, что поможет достичь положительных результатов и ускорить выздоровление. Если причина отклонения показателей крови имеет физиологическую природу, то соблюдение принципов здорового образа жизни будет способствовать стабилизации результатов анализов. К основным рекомендациям относятся:
- Правильное и сбалансированное питание, исключающее вредные продукты, фастфуд и блюда быстрого приготовления, а также минимизация потребления жареной и копченой пищи и отказ от жирной еды.
- Регулирование режима дня с разумным чередованием труда и отдыха. Рекомендуется избегать интенсивных физических нагрузок и нервных перегрузок.
- Существенные изменения в образе жизни, включая отказ от вредных привычек, которые негативно влияют не только на процессы кроветворения, но и на общее состояние организма.
Кроме того, пациенту могут быть назначены препараты для укрепления иммунной системы и насыщения организма полезными витаминами. Однако целесообразность такого подхода зависит от общей картины анализов, состояния здоровья пациента и других факторов, которые являются приоритетными для врачей.
Подведение итогов
Анализ лейкоцитарных коэффициентов в расширенном анализе крови имеет важное диагностическое значение для врачей. При оценке результатов исследования специалист рассматривает совокупность качественных и количественных показателей, что позволяет ему установить диагноз и подобрать оптимальное лечение. Подход к терапии будет зависеть от множества факторов, и чем быстрее удастся выявить проблему и начать её решение, тем выше вероятность восстановления нормального функционирования организма.
Роль гранулоцитов в иммунной системе
Гранулоциты представляют собой один из основных типов белых кровяных клеток, играющих ключевую роль в иммунной системе человека. Эти клетки, обладающие характерными гранулами в цитоплазме, делятся на три основных подтипа: нейтрофилы, эозинофилы и базофилы. Каждый из этих подтипов выполняет специфические функции, направленные на защиту организма от инфекций и других патогенных агентов.
Нейтрофилы, составляющие около 60-70% всех гранулоцитов, являются первыми клетками, которые реагируют на инфекцию. Они способны быстро мигрировать к месту воспаления, где поглощают и уничтожают бактерии и грибки через процесс фагоцитоза. Кроме того, нейтрофилы выделяют различные вещества, которые помогают привлекать другие иммунные клетки и усиливают воспалительный ответ.
Эозинофилы, составляющие около 1-4% от общего числа гранулоцитов, играют важную роль в борьбе с паразитарными инфекциями и аллергическими реакциями. Они выделяют специфические ферменты и токсины, которые помогают уничтожать крупных патогенов, таких как гельминты. Кроме того, эозинофилы участвуют в регуляции воспалительных процессов и могут способствовать развитию аллергических реакций.
Базофилы, составляющие менее 1% от общего числа гранулоцитов, участвуют в аллергических реакциях и воспалительных процессах. Они выделяют гистамин и другие медиаторы, которые способствуют расширению сосудов и увеличению проницаемости капилляров, что приводит к отеку и покраснению тканей. Базофилы также играют роль в регуляции иммунного ответа, взаимодействуя с другими клетками иммунной системы.
Таким образом, гранулоциты являются важными компонентами иммунной системы, обеспечивая защиту организма от инфекций и участвуя в регуляции воспалительных процессов. Их нормальное количество и функциональная активность имеют решающее значение для поддержания здоровья. Отклонения в уровне гранулоцитов могут указывать на наличие различных заболеваний, включая инфекции, аллергии, аутоиммунные расстройства и даже некоторые виды рака. Поэтому мониторинг гранулоцитов в анализе крови является важным инструментом для диагностики и оценки состояния здоровья пациента.
Влияние заболеваний на уровень гранулоцитов
Гранулоциты – это тип белых кровяных клеток, которые играют ключевую роль в иммунной системе организма. Они отвечают за защиту от инфекций и воспалительных процессов. Уровень гранулоцитов в крови может варьироваться в зависимости от различных заболеваний, что делает их важным показателем для диагностики и мониторинга состояния пациента.
Существует несколько заболеваний, которые могут существенно влиять на уровень гранулоцитов. Например, инфекционные болезни, такие как бактериальные и вирусные инфекции, могут вызывать увеличение числа гранулоцитов (гранулоцитоз). Это связано с тем, что организм активирует иммунный ответ для борьбы с патогенами. В частности, при острых бактериальных инфекциях, таких как пневмония или сепсис, уровень нейтрофилов, одного из видов гранулоцитов, может значительно повышаться.
С другой стороны, некоторые заболевания могут приводить к снижению уровня гранулоцитов (гранулопения). Это может происходить при аутоиммунных заболеваниях, таких как системная красная волчанка, где иммунная система начинает атаковать собственные клетки организма, включая гранулоциты. Также гранулопения может быть вызвана инфекциями, такими как ВИЧ, которые подавляют костный мозг, где производятся гранулоциты.
Кроме того, некоторые виды рака, особенно лейкемия, могут нарушать нормальное производство гранулоцитов, что также приводит к их снижению. Химиотерапия, используемая для лечения рака, может дополнительно угнетать костный мозг, что приводит к временной гранулопении. В таких случаях важно контролировать уровень гранулоцитов, чтобы предотвратить серьезные инфекции, которые могут возникнуть на фоне их недостатка.
Заболевания печени и селезенки также могут оказывать влияние на уровень гранулоцитов. Печеночная недостаточность может нарушать синтез белков, необходимых для нормального функционирования иммунной системы, в то время как увеличенная селезенка может захватывать и разрушать гранулоциты, что приводит к их снижению в крови.
Важно отметить, что уровень гранулоцитов может колебаться не только из-за заболеваний, но и под воздействием различных факторов, таких как стресс, физическая нагрузка, прием некоторых медикаментов и даже изменения в рационе питания. Поэтому для точной интерпретации результатов анализа крови необходимо учитывать все возможные факторы, которые могут повлиять на уровень гранулоцитов.
В заключение, уровень гранулоцитов в крови является важным показателем, который может дать ценную информацию о состоянии здоровья пациента. Понимание влияния различных заболеваний на уровень гранулоцитов позволяет врачам более точно диагностировать и лечить заболевания, а также проводить мониторинг состояния пациента в процессе лечения.
Советы по подготовке к анализу крови
Подготовка к анализу крови является важным этапом, который может существенно повлиять на точность результатов. Для получения наиболее достоверных данных о состоянии гранулоцитов и других клеток крови необходимо соблюдать несколько простых, но важных рекомендаций.
1. Время сдачи анализа: Лучше всего сдавать кровь утром, натощак. Это связано с тем, что уровень гранулоцитов может колебаться в течение дня, и утренние показатели будут наиболее стабильными.
2. Ограничение пищи: Рекомендуется воздержаться от приема пищи за 8-12 часов до анализа. Это поможет избежать влияния пищи на уровень глюкозы и других веществ в крови, что может исказить результаты.
3. Избегание физических нагрузок: За день до анализа следует избегать интенсивных физических нагрузок и стрессовых ситуаций. Физическая активность может привести к временным изменениям в уровне гранулоцитов, что может затруднить интерпретацию результатов.
4. Отказ от алкоголя и курения: Употребление алкоголя и курение могут негативно сказаться на состоянии крови. Рекомендуется воздержаться от этих привычек за 24 часа до сдачи анализа.
5. Лекарственные препараты: Если вы принимаете какие-либо лекарства, обязательно проконсультируйтесь с врачом. Некоторые препараты могут влиять на уровень гранулоцитов и других клеток крови. Возможно, потребуется временно приостановить их прием перед анализом.
6. Психоэмоциональное состояние: Стресс и эмоциональное напряжение могут также повлиять на результаты анализа. Постарайтесь находиться в спокойном состоянии перед сдачей крови, чтобы минимизировать влияние стресса на показатели.
7. Уведомление о заболеваниях: Если вы недавно перенесли инфекционные заболевания или другие серьезные болезни, обязательно сообщите об этом врачу. Это может помочь в интерпретации результатов анализа и понимании возможных отклонений в показателях гранулоцитов.
Соблюдение этих рекомендаций поможет получить наиболее точные и информативные результаты анализа крови, что, в свою очередь, позволит врачу правильно оценить состояние вашего здоровья и при необходимости назначить соответствующее лечение.



